맞습니다.
치아를 많이 깎아내는 라미네이트라면요.
Definition
무삭제 라미네이트(제로디자인)란? 치아 삭제량 0mm — 자연 치아를 깎지 않는 라미네이트입니다.
진단 단계에서 실제와 동일한 임시 라미네이트를 입안에 시적해 결과를 미리 확인합니다. 마음에 안 들면 원래 치아 그대로 — 삭제 또는 접착 과정 없이 되돌릴 수 있습니다.

"많이 깎여서 시리다"
"신경치료까지 했다"
"후회한다"
과거엔 실제로 그랬습니다.
당신이 무서운 게 당연합니다.

재료가 얇아졌으니
깎을 이유가 사라졌습니다.
자연 치아 위에 0.3mm를 더할 뿐,
아무것도 빼지 않습니다.

3D 구강스캐너로 정밀 데이터를 채득하고,
실제 라미네이트와 동일한 두께, 동일한 심미의
임시 라미네이트를 제작해 직접 착용할 수 있습니다.
내 치아에 어울리는지,
눈으로 확인하고 결정하세요.
예진표 작성과 정밀 상담을 통해
무삭제 적합 여부를 판단합니다.

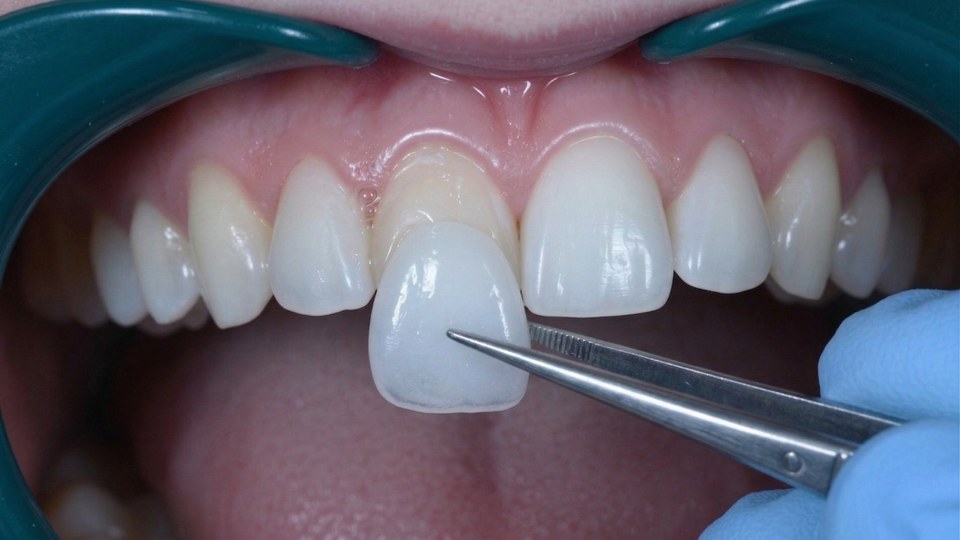
디지털 구강스캐너로 치아 데이터를 채득하고,
임시 라미네이트를 설계합니다.

실제와 동일한 임시 라미네이트를 제작해
직접 착용해봅니다.
수정사항이 있으면 이 단계에서 반영합니다.

안모와 미소라인을 반영한 최종 디자인을 확정하고,
정밀 모델을 제작합니다.

치아 손상 없이 라미네이트를 접착합니다.
마취 없이 약 10분이면 완료됩니다.

치아가 심하게 틀어져 있거나 돌출된 경우,
무삭제로 덧붙이면 오히려 돌출입이 됩니다.
이럴 땐 교정이 답입니다.
우리는 그 사실을 숨기지 않습니다.
치아 상태에 따라 0.1~0.3mm의 최소삭제를 해야 더 자연스러운 결과가 나오는 케이스가 있습니다.
무삭제를 고집해서 결과가 나빠지는 것보다,
최소한만 다듬어서 최선의 결과를 만드는 것이 맞습니다.
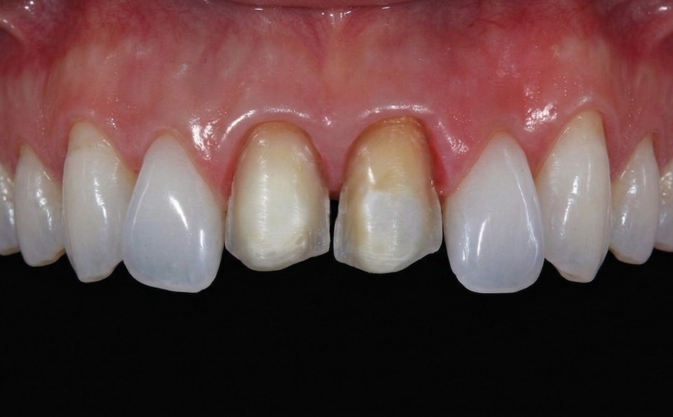
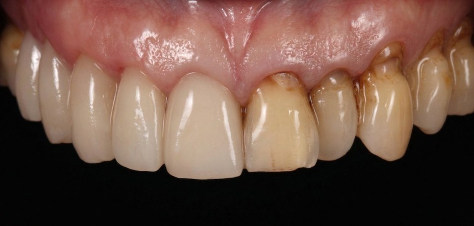
배열은 가지런한데 색이 누렇거나.
형태가 미세하게 아쉽거나.
노화로 마모되고 변색된 경우.
교정으로도, 미백으로도 해결되지 않는 영역.
제로디자인은 당신을 위해 만들어졌습니다.